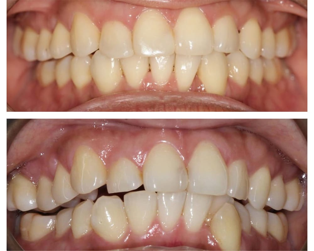
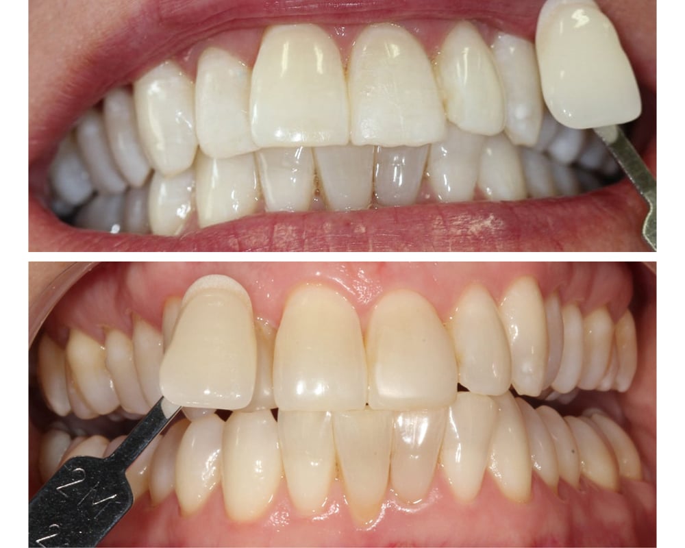
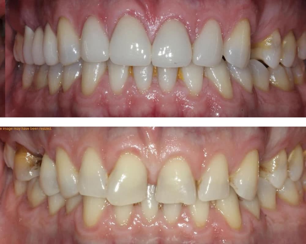
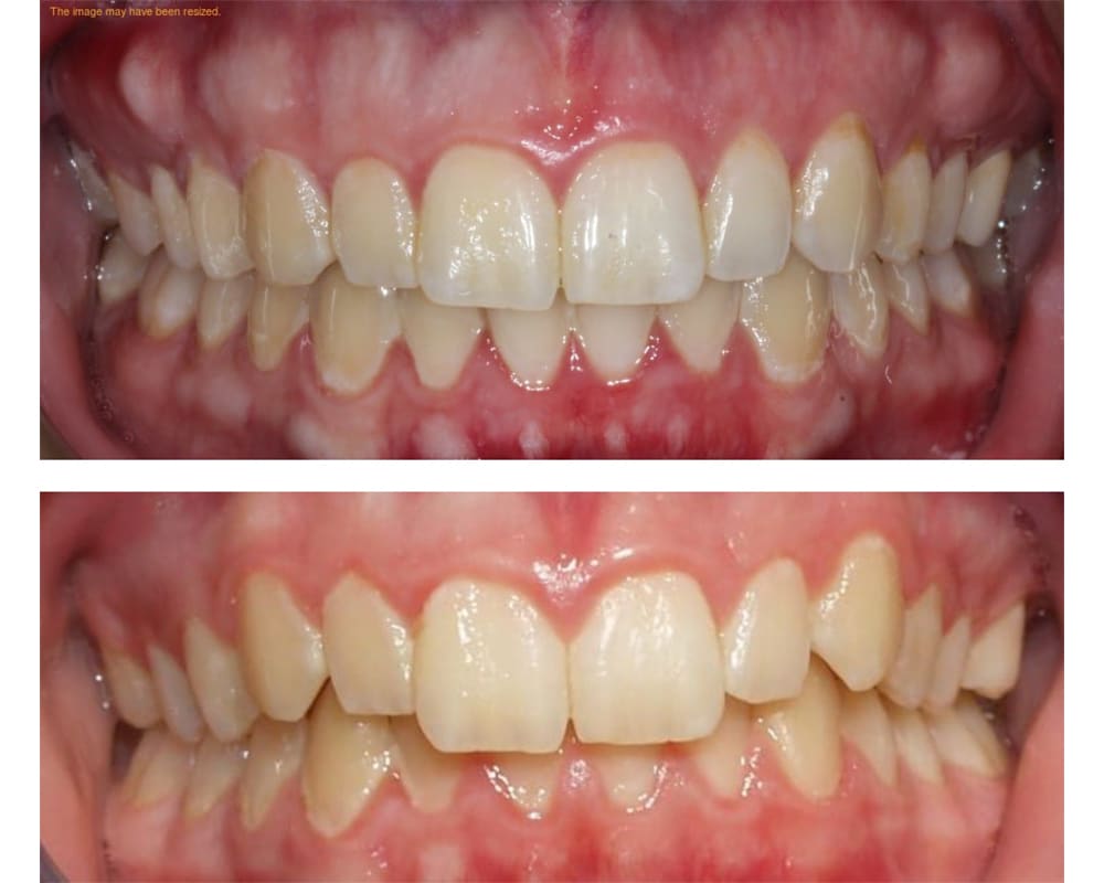
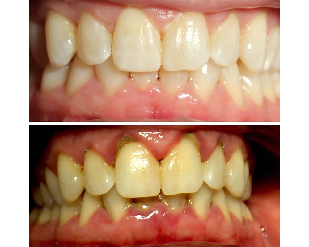
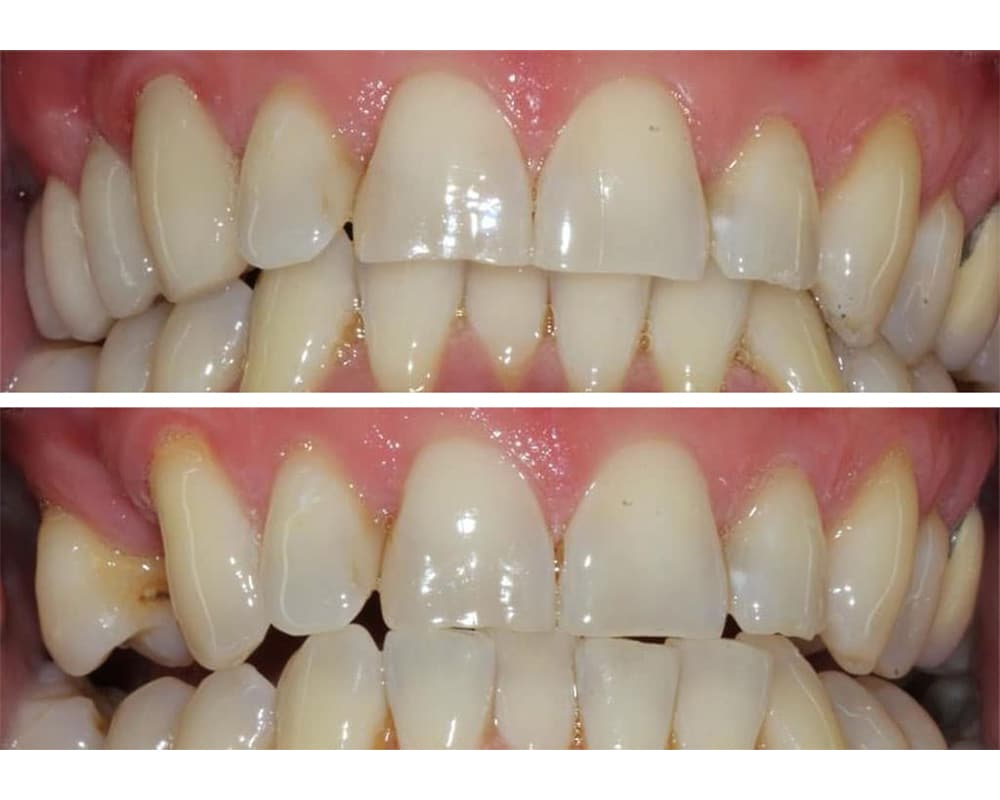
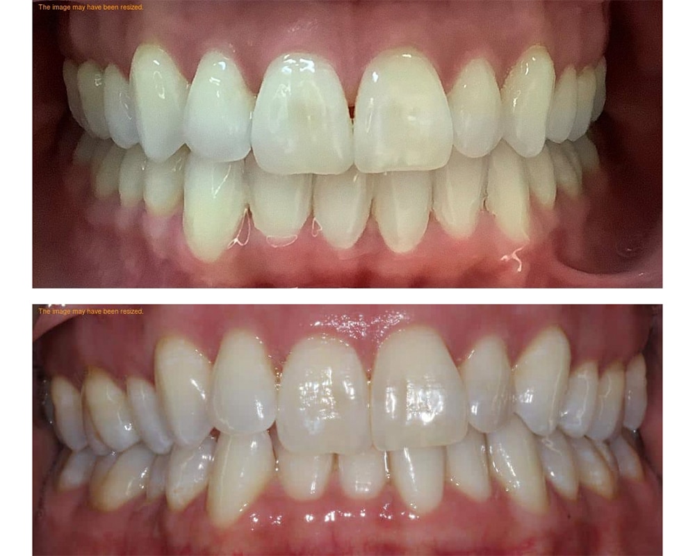
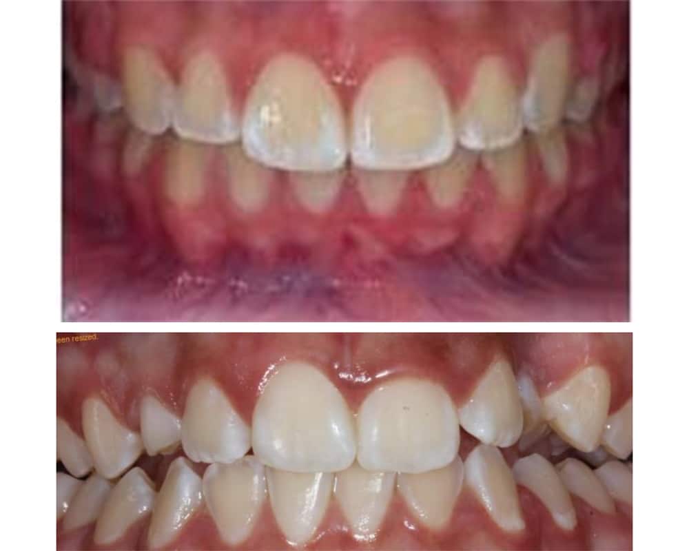
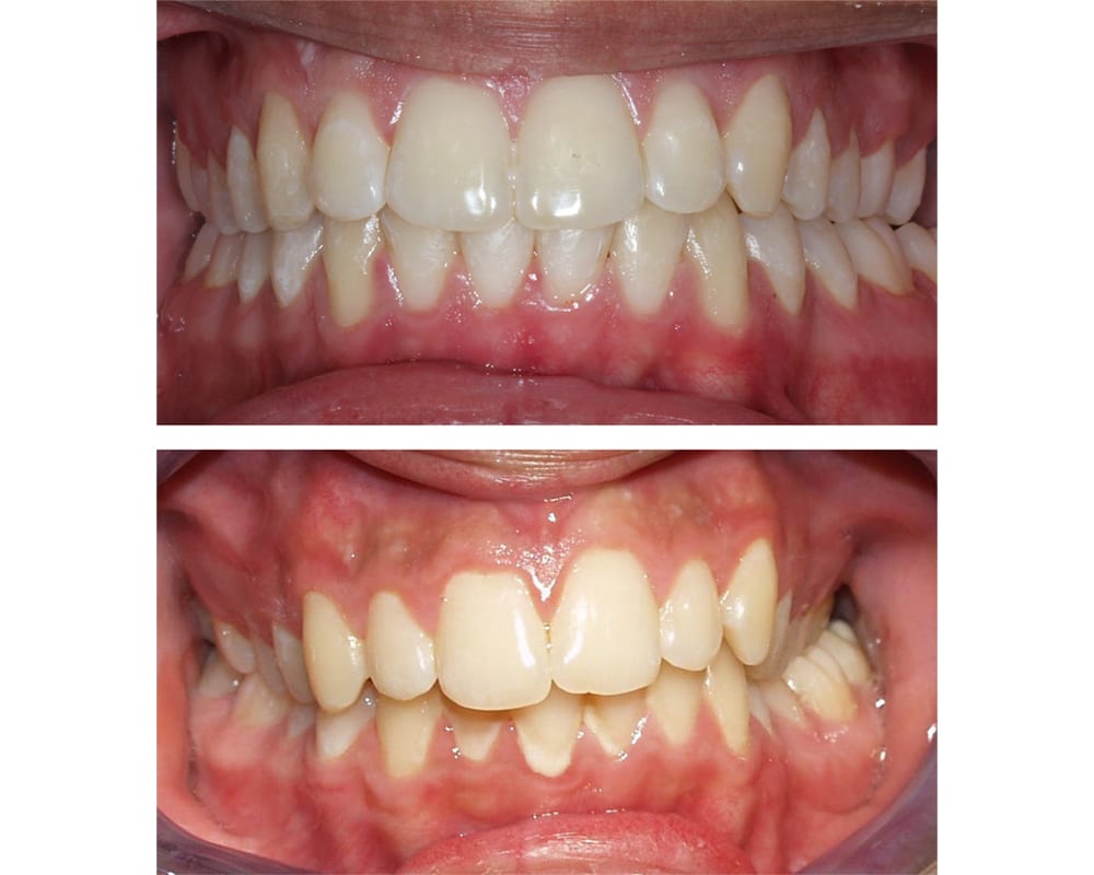
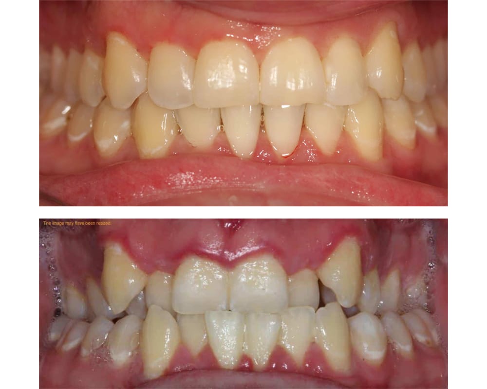
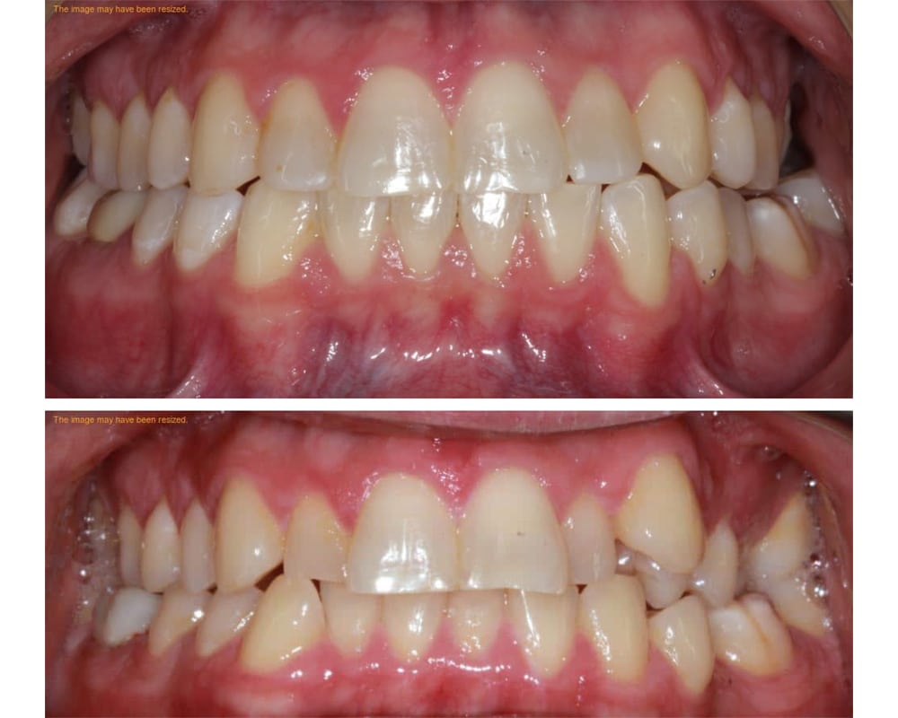
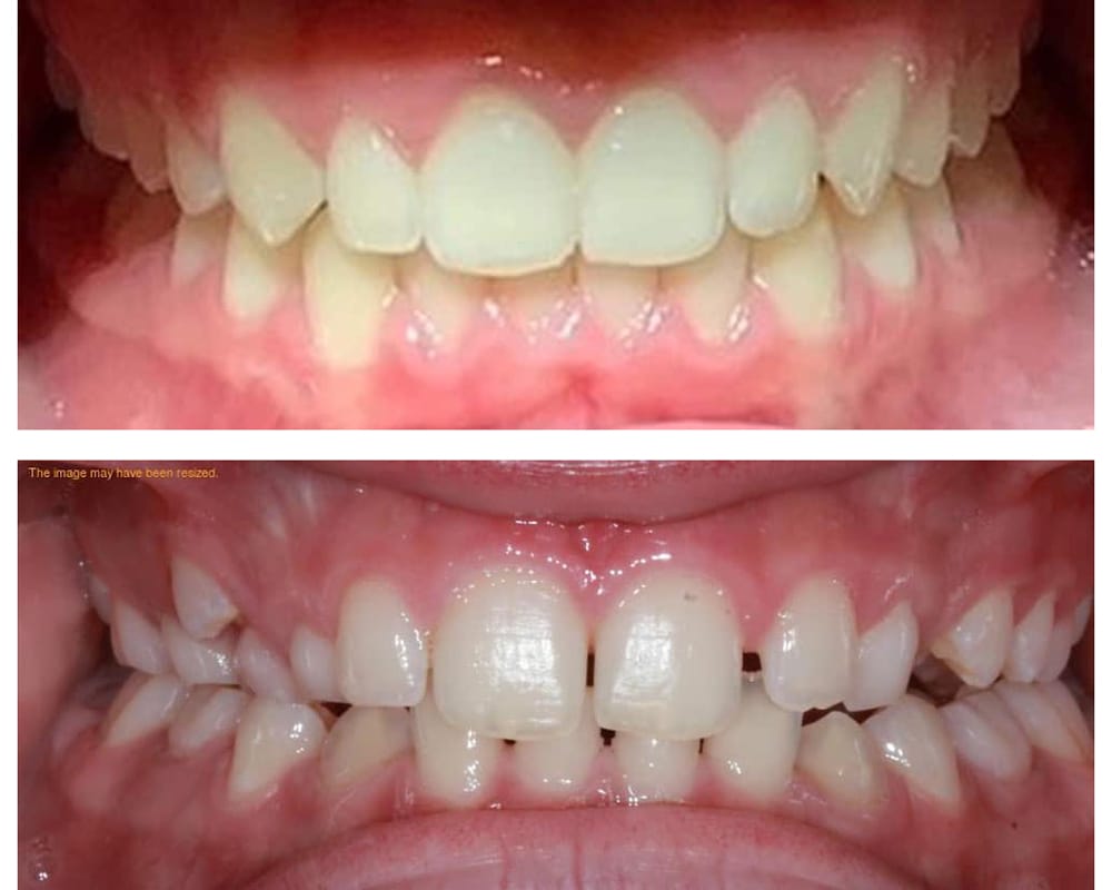
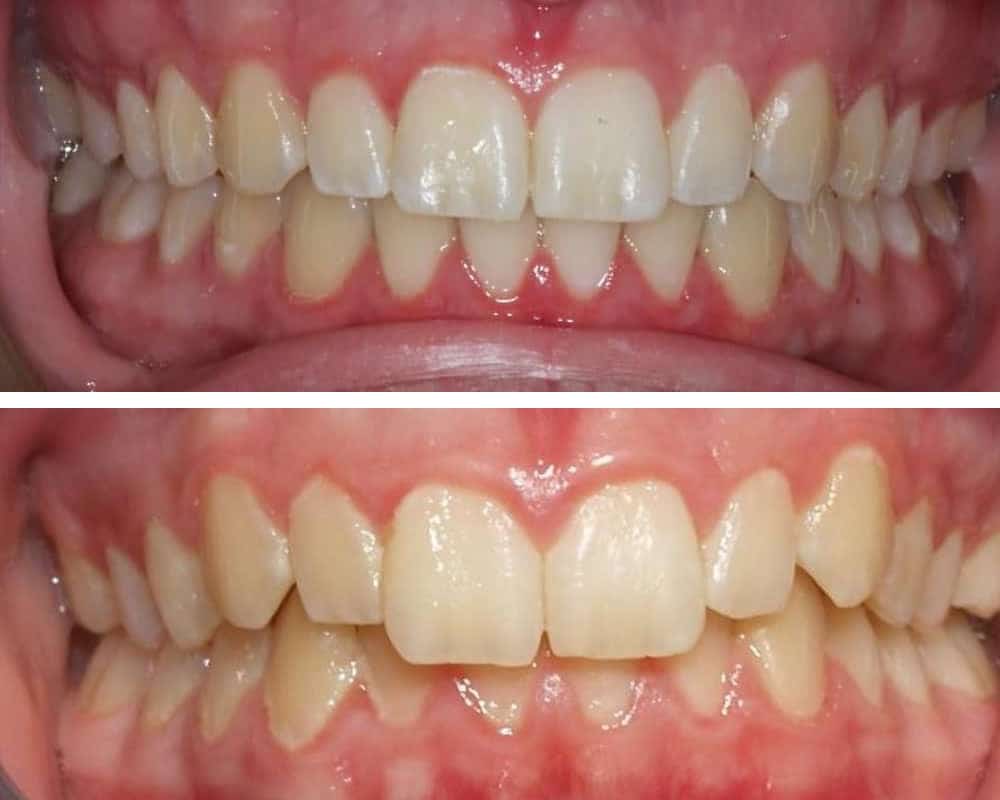
After
Before
